Diamond Dental Clinic
4,8 рейтинг на Google
86 відгуків
Понад 100 посмішок за 4 роки

Встановити керамічні вініри в Рівному

Ваша бездоганна усмішка без ефекту «штучної білизни». Створюємо природну анатомію зуба з точністю до 0,2 мм під мікроскопом.

  • Змоделюємо нову посмішку по фото під ваші риси обличчя завдяки смайл-дизайну
  • Збережемо 90% власних тканин зуба завдяки роботі під мікроскопом
  • Використовуємо кераміку E-max Press з природною прозорістю – посмішка виглядає натурально

Отримайте індивідуальний план естетичного відновлення на консультації – пройдіть тест на 5 питань.

Отримати план відновлення Пройти тест на 5 питань
Керамічні вініри Рівне – Олег Медвецький, Diamond Dental Clinic
Медведський Олег Олександрович
ортопед стоматології Diamond Dental Clinic

Пройдіть тест і отримайте індивідуальний план естетичного відновлення

Кілька запитань – підберемо варіант вінірів та зорієнтуємо по вартості.

Питання 1 з 5 20%

1 Що для вас є найважливішим у майбутньому результаті?

Чому Diamond Dental Clinic – це вибір тих, хто цінує якість

Ми не просто «ставимо вініри». Ми шукаємо «свого» пацієнта, який розуміє цінність природної анатомії та прозорого ріжучого краю.

Природній результат

Ви хочете змінити колір чи форму, але боїтеся виглядати безглуздо з «унітазно-білими» зубами.

Збереження зубів

Вам важливо зберегти власні зуби живими та міцними. Ми знімаємо лише 0,2–0,3 мм – товщина контактної лінзи.

Прозорість ціни

Ви цінуєте прозорість: хочете бачити чіткий кошторис на кожному етапі без «сюрпризів» у фінальному чеку.

Коли мікро-точність стає мистецтвом

Три технології, що роблять різницю між звичайними вінірами і тими, які виглядають як власні зуби.

Кераміка E-max Press

Кераміка E-max Press

Природність у кожному шарі. Ми використовуємо E-max Press через її м'яку, прозору структуру, яка ідеально імітує справжню емаль. На відміну від цирконієвих коронок, вона дозволяє створити «живу» глибину кольору.

Робота під мікроскопом

Робота під мікроскопом

Точність до мікрона. Препарування під збільшенням дозволяє ідеально підготувати зуб. Вінір прилягає настільки щільно, що виникнення карієсу під ним практично неможливе.

Цифрове 3D-сканування

Цифрове 3D-сканування

Жодних липких мас у роті та блювотного рефлексу. Швидко, комфортно та в рази точніше за традиційні зліпки.

Без обточування зубів

Як ми прибираємо ваш страх «А раптом мені не пасуватиме?»

Ми виготовляємо WaxUp – модель ваших майбутніх зубів – і переносимо її у вашу ротову порожнину за допомогою спеціальної пластмаси.

  • Ви можете оцінити форму та довжину в дзеркалі
  • Ви можете перевірити дикцію та зручність
  • Ви можете внести правки разом із лікарем
  • Все це БЕЗ обточування ваших зубів
Записатися на консультацію
Mock-up / VaxUp – примірка посмішки

Результати, які говорять самі за себе

За останні 4 роки ми успішно реалізували понад 100 комплексних планів лікування з вінірами. Кожен випадок – це індивідуальний підбір кольору.

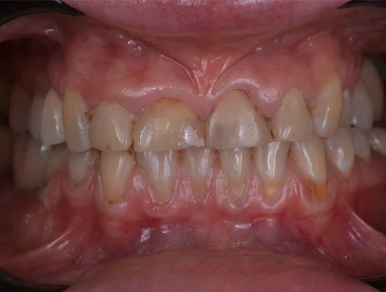
Після встановлення керамічних вінірів – кейс 1 До встановлення керамічних вінірів – кейс 1
Кейс 1 · Естетична реабілітація

Вирівняли ріжучий край, відновили пропорції та форму передніх зубів – усмішка стала гармонійною й природною.

Після встановлення керамічних вінірів – кейс 2 До встановлення керамічних вінірів – кейс 2
Кейс 2 · Естетична реабілітація

Виправили зміну кольору та асиметрію фронтальних зубів, відновили форму й пропорції – усмішка стала рівною та впевненою.

Після комплексної реабілітації усмішки – кейс 3 До комплексної реабілітації усмішки – кейс 3
Кейс 3 · Комплексна реабілітація

Поєднали терапію, ортодонтію, корекцію ясен і керамічні вініри – отримали усмішку, яка відповідає рисам обличчя пацієнтки.

Після комплексної реабілітації усмішки – кейс 4 До комплексної реабілітації усмішки – кейс 4
Кейс 4 · Комплексна реабілітація

Провели повний маршрут від лікування до вінірів – усмішка стала симетричною, природною та гармонійною.

Після встановлення керамічних вінірів – кейс 5 До встановлення керамічних вінірів – кейс 5
Кейс 5 · Естетична реабілітація

Замістили застарілі композитні реставрації керамічними вінірами – повернули природну форму, блиск емалі та здоровий вигляд ясен.

Після естетичної реабілітації керамічними вінірами – кейс 6 До естетичної реабілітації керамічними вінірами – кейс 6
Кейс 6 · Естетична реабілітація

Вирівняли положення та форму зубів, відновили симетрію й колір – усмішка стала гармонійною та природною.

Після комплексної реабілітації усмішки – кейс 7 До комплексної реабілітації усмішки – кейс 7
Кейс 7 · Комплексна реабілітація

Командна робота терапевта, ортодонта та ортопеда дала усмішку, яка точно відповідає рисам обличчя пацієнтки.

За останні 4 роки ми успішно реалізували понад 100 комплексних планів лікування з вінірами. Кожен випадок – це індивідуальний підбір кольору з нашої широкої палітри (від класичних до преміальних бліч-відтінків).

Отримати індивідуальний план відновлення

Ваша посмішка в надійних руках

У нас немає «плинності кадрів». Наш колектив працює разом понад 4 роки – ми ті, хто створював цю клініку, і ми відповідаємо за її репутацію.

Вікторія Сучик – власниця Diamond Dental Clinic

Вікторія Олександрівна Сучик

Власниця клініки · Терапія та естетична реставрація

  • Консультує первинних пацієнтів – складає план лікування
  • Виконує реставрацію та композитні вініри
  • Особисто контролює кожен естетичний результат клініки
Олег Медвецький – ортопед Diamond Dental Clinic

Олег Медвецький

Ортопед · Виготовлення та фіксація керамічних вінірів

  • Виконує встановлення керамічних вінірів
  • Цифрове 3D-сканування, DSD, Mock-up
  • 8 років досвіду в протезуванні

Прозорий шлях до результату

4 кроки від консультації до вашої ідеальної посмішки.

1

Консультація та КТ

Знайомство, анамнез та складання детального друкованого плану з повним кошторисом. Вартість – 800 грн.

2

Планування та Mock-up

3D-сканування та примірка майбутньої форми. Ви бачите результат ще до початку роботи.

3

Підготовка та фіксація

Препарування під мікроскопом, виготовлення вінірів у лабораторії та фінальне встановлення.

4

Адаптація

Протягом 2 тижнів ви звикаєте до нових відчуттів, а ми залишаємось на зв'язку.

Відгуки на незалежному порталі Google Карти

Рейтинг 4.8
(89 відгуків)
Лишити відгук у Google

Часті пітання про керамічні вініри

Чесні відповіді на найважливіші питання щодо керамічних вінірів.

Зробіть перший крок до посмішки мрії

Не потрібно «вгадувати» вартість чи метод лікування по телефону. Отримайте чіткий план, заснований на ваших побажаннях та цифровій діагностиці.

4,8 рейтинг
89 відгуків на Google
100+ посмішок
За 4 роки роботи
Робота під мікроскопом
Точність до 0,2 мм

Контакти та карта

Diamond Dental Clinic, Рівне

Адреса: м. Рівне, вул. Соборна, 68

Прокласти маршрут

Графік: Пн–Пт 09:00–20:00 • Сб 10:00–16:00 • Нд – вихідний